
안녕하세요. 치과일타 닥터꼬집 입니다.
크라운 치료는 신경치료 후에
꼭 필요한 단계 중 하나입니다.
하지만 치료를 받았다고 해서
크라운을 평생 사용할 수 있는 것은 아닙니다.
시간이 지나면서 크라운이나 내부 보철물에
문제가 생기면 다시 치료가 필요해질 수 있습니다.
이때는 재신경치료와 함께
크라운도 교체해야 할 수 있고,
어떤 재료로 크라운을 할지도 고민하게 됩니다.
오늘은 실제 치료 과정을 중심으로,
다양한 크라운 재료의 특징과
선택 기준에 대해 설명드리겠습니다.
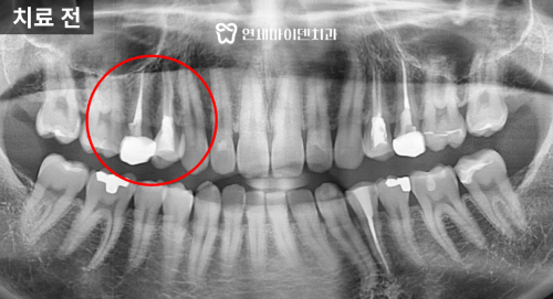
크라운 치료 전 상태

이번 케이스는 과거에 신경치료를 받은 후
크라운을 씌웠지만 시간이 지나면서
주변에 갭이 생기고
뿌리 끝에 염증이 생긴 케이스 였습니다.

크라운 경계가 충분히 덮이지 않아
치아를 제대로 보호하지 못하고 있는 상태였고,
내부 레진 코어 역시 오염 가능성이 있었기 때문에
크라운 교체와 함께 재신경치료를 진행하게 되었습니다.
치료 과정

기존 크라운과 레진 코어를 제거하고
내부를 살펴본 결과, 예상치 못했던
충치와 오염된 조직이 발견되었습니다.
이처럼 겉보기엔 멀쩡해 보여도
내부에 문제가 있는 경우가 많기 때문에,
크라운 재치료 시에는 기존 재료를 모두 제거한 후
철저하게 청소하고 밀봉하는 과정이 중요합니다.
신경관은 두 개가 서로 연결되어 있는 구조였고,
이 부분을 모두 깨끗하게 치료한 후,

치아 벽이 절반 이상 손상된 부위에는
파이버 포스트를 이용해 보강을 했습니다.
이후 주변 치아 색상에 맞춰
지르코니아 크라운으로
자연스럽게 마무리했습니다.



크라운 재료 종류와 특징
신경치료 후
어금니나 앞니에 씌우는 크라운은
다양한 재료로 제작할 수 있습니다.
주요 재료별 특징은 다음과 같습니다.
1. 골드 크라운
연성과 전성이 뛰어나 치아 마모를 줄여줍니다.
단점은 심미성이 떨어지고
골드의 함량에 따라
제작 비용이 높아진다는 점입니다.
다만 비용이 부담되어 골드 함량을 낮추게 되면,
골드 크라운의 메리트는 사라지고,
메탈 크라운 수준으로 치아를 마모시키게 됩니다.
따라서 골드 크라운을 기왕 선택하실 거라면,
원칙적인 골드 함량을 지키시는 것을 추천드립니다.

씹는 힘이 강하거나 치아 길이가 짧은
최후방 구치에 유리합니다.
치아 길이가 짧아
치아를 많이 깎아내지 못하는 경우,
크라운이 얇게 제작되기에
치아의 교합력을 버틸 수 있는
골드크라운을 택하는 쪽이 좋습니다.

2. PFM (Porcelain Fused to Metal)
내부는 금속, 외부는 도자기 재질로 되어 있어
기능성과 심미성을 모두 고려한 재료입니다.
치아 색과 유사하지만 시간이 지나면
경계선이 드러날 수 있고,
금속이 비칠 수도 있습니다.
보험 임플란트의 보철에 많이 사용됩니다.
3. 지르코니아 크라운
강도와 내구성이 뛰어나고,
최근에는 투명도도 개선된
멀티 레이어드 제품이 많이 쓰입니다.
자연치에 가까운 색상 구현이 가능해
어금니뿐 아니라 앞니 재료에도 사용됩니다.

4. 올세라믹
투명도가 높아 심미성이 가장 우수하며,
주로 앞니에 사용됩니다.
다만 투명도 때문에
내부 구조가 비쳐 보일 수 있기에
보철물 색상과 형태에 대한 설계가 중요한데요.
그래서 PFZ(Porcelain Fused to Zirconia)처럼
지르코니아 기반 위에 포세린세라믹을
덧입히는 방식도 활용됩니다.
마무리하며
지르코니아든 골드든,
모든 크라운 재료에는 각각 장단점이 있습니다.
가장 중요한 것은 개개인의 치아 상태와
환경에 맞는 재료를 선택하는 것이며,
이를 위해서는 의료진과 충분한 상담이 필요합니다.
무조건 '이 재료가 최고다'라고 하기보다는,
각자의 상황에 가장 잘 맞는 재료를 선택하는 것이
오랫동안 치아를 건강하게 사용할 수 있는 길입니다.
오늘 포스팅 마무리하겠습니다.
감사합니다.
※ 본 게시물은 「의료법」 제56조 및 시행령 제23조에 따라 진료 유도가 아닌 일반 건강 정보 제공을 목적으로 합니다.
※ 개인별 증상과 상태에 따라 치료법과 결과가 다를 수 있으니, 정확한 진단은 반드시 의료진의 직접 진료를 통해 받으시기 바랍니다.
※ 본 콘텐츠는 사전심의를 받지 않은 게시물이며, 의료광고가 아님을 알려드립니다.


'Info > 치아의 모든것' 카테고리의 다른 글
| 2025년 스케일링 건강보험 적용 조회 방법 | 종로 치과 (0) | 2025.12.08 |
|---|---|
| 치과 무통 마취 원리, 치료 통증 치과공포증 극복 방법은? 종로치과 (3) | 2025.08.29 |
| 찬물 마실 때 이시림, 원인과 해결방법 종로치과 (2) | 2025.07.17 |
| 신경치료 후 통증, 정상일까 실패 신호일까? 구분법 광화문치과 (0) | 2025.07.03 |
| 중고등학생 치아미백 효과와 안전기준 종로치과 (1) | 2025.05.23 |
