안녕하세요. 치과일타 닥터꼬집 입니다.

앞니 임플란트 치료는 임시치아를 바로 연결하여

일상생활에 불편함이 없도록 하는 것이 중요합니다.

앞니는 가장 눈에 띄기에,

대화를 나누거나 미소 지을 때

단번에 드러나기 때문입니다.

그래서 앞니 임플란트는

특히 환자들의 심미적 요구가 강하고,

술자 입장에서도 다소 까다로운 시술입니다.

오늘은 실제 케이스를 통해

자연스러운 앞니 임플란트 치료 과정

설명드리도록 하겠습니다.

 

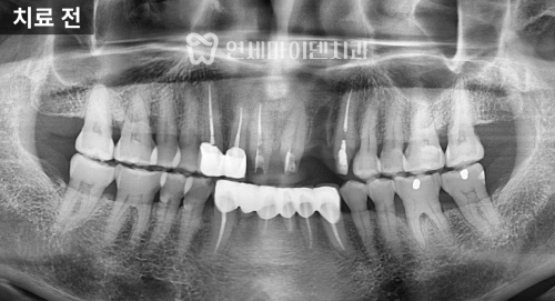
치료 전 상황

이미 앞니 하나가 발치된 상태였던 이번 케이스는

기존 브릿지 보철 치료로 인해 스트레스가 있었고,

'자연스러운 임플란트'에 대한 요구가 명확했습니다.

 

치료 계획: 송곳니 보존, 임플란트 활용

이번 케이스는 송곳니까지 모두 발치 후

임플란트를 요청받았습니다.

하지만 저는 조금밖에 안남은 송곳니라도

보존하는 것이 좋다고 생각했습니다.

송곳니는 뿌리가 길고 두꺼워서

교합을 지탱하는 매우 중요한 치아이기 때문에

웬만하면 살려야 합니다.

따라서 치료 계획은 다음과 같이 설정했습니다.

-발치된 부위 포함 앞니 2개에 임플란트 식립

-결손 범위는 임플란트 브릿지로 연결

-송곳니는 재신경치료 후 크라운으로 보존

 

임플란트 식립 및 송곳니 재신경치료

 

발치된 앞니 부위에는

뼈가 부족해 잇몸이 꺼질 위험이 컸습니다.

따라서 발치와 보존술을 통해

뼈 이식을 충분히 해주고

동시에 임플란트 2개를 식립했습니다.

치료 당일 임시치아도 바로 연결해

일상생활에 불편이 없도록 했습니다.

송곳니는 재신경치료로 내부를 깨끗하게 정리하고,

상부는 레진코어로 단단하게 채워 넣어

향후 크라운 치료의 기반을 마련했습니다.

치경부 레진 수복, 임플란트 최종 보철

부러진 부분과 마모된 부분은

레진 수복으로 보강했습니다.

레진은 단순해 보이지만

접착·형태 구현에 따라 예후가 크게 달라지는,

술자의 테크닉이 매우 중요한 치료입니다.

또한 임플란트 2개를 기반으로

임플란트 브릿지를 제작하였고,

송곳니는 크라운으로 마무리했습니다.

주변 잇몸 라인을 고려해

자연스럽게 심미성을 맞췄습니다.

 

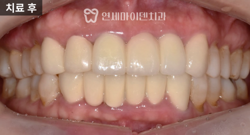
치료 결과

치료가 끝난 후 가장 큰 성과는

티가 나지 않는다는 점이었습니다.

임플란트 크라운과 자연 치아,

기존 크라운이 구분되지 않을 정도로

자연스럽게 완성되었습니다.

또한, 임시치아 단계에서도

불편 없이 생활할 수 있었기 때문에

심리적 부담도 크게 줄었습니다.

 

경과 관찰

치료 후 3년간 정기적으로 팔로업을 진행했으며,

임플란트·보철 모두 안정적으로 유지되고 있습니다.

잇몸 상태도 건강하게 관리되고 있고,

기능과 심미 두 가지 모두

안정적인 결과를 보이고 있습니다.

 

케이스 정리​

 

이번 사례의 핵심은 다음과 같습니다.

1. 앞니 임플란트는 심미성이 최우선

2. 송곳니는 보존 교합 안정성과 장기 예후에 핵심

3. 발치와 보존술(뼈 이식)로 잇몸 꺼짐 예방

4. 당일 임시치아로 앞니 치료 중 스트레스 최소화

앞니 때문에 고민이 크신 분들에게

이번 사례가 치료 방향을 정하는 데

도움이 되셨으면 합니다.

감사합니다.

 



더 자세한 내용은

치과일타 Dr.꼬집 유튜브 채널에서

확인하실 수 있습니다.

↓ 치과일타 Dr.꼬집 채널 바로가기↓

이미지를 누르면 영상으로 연결됩니다.

 


※ 본 게시물은 「의료법」 제56조 및 시행령 제23조에 따라 진료 유도가 아닌 일반 건강 정보 제공을 목적으로 합니다.

※ 개인별 증상과 상태에 따라 치료법과 결과가 다를 수 있으니, 정확한 진단은 반드시 의료진의 직접 진료를 통해 받으시기 바랍니다.

※ 본 콘텐츠는 사전심의를 받지 않은 게시물이며, 의료광고가 아님을 알려드립니다.

 

 

 

잇몸 고름, 방치하면 안 되는 이유

 

안녕하세요. 치과일타 닥터꼬집 입니다.

많은 분들이 잇몸 염증 고름이 생겨도

많이 아프지 않다는 이유로 방치하곤 합니다.

하지만 증상이 가벼워 보여도 염증은 계속 진행되고,

시간이 지나면 치아를 잃을 수도 있습니다.

 

* 자가진단 체크 리스트 *
: 다음 항목 중 해당되는 것이 있다면 전문의 상담을 받아보세요.

□ 잇몸에 여드름 같은 것이 반복적으로 생긴다
□ 과거에 신경치료를 받은 치아가 있다
□ 잇몸 색이 변한 부분이 있다
□ 가끔 피가 나거나 고름이 나온다
□ 컨디션에 따라 증상이 있었다 없었다 한다

 

잇몸 염증, 항생제 효과 있을까?

잇몸 고름으로 항생제를 처방받는 경우가 많습니다.

항생제를 먹으면 며칠 동안은 증상이 줄어들고,

잇몸 여드름도 사라진 것처럼 보입니다.

하지만 시간이 지나면 다시 고름이 올라옵니다.

또 항생제를 먹고, 증상이 줄었다

재발하는 악순환이 생깁니다.

*잇몸 염증, 4가지 주요 원인*

1. 과거 신경치료가 제대로 되지 않아, 뿌리 끝에 염증이 생기는 경우
2. 잇몸병, 치주질환이 원인이 되는 경우
3. 깊은 충치로 세균이 침투해 생기는 경우
4. 치아 크랙으로 뿌리 쪽에 염증이 생긴 경우

 

잇몸에 염증이 생기거나

고름이 잡히는 경우는 생각보다 흔하지만

원인은 단순하지 않습니다.

이처럼 원인이 다양하기 때문에

겉으로 보이는 현상만 가지고는

원인을 특정하기 어렵습니다.

 

염증 치아 보존, 실제 케이스 소개

오늘 소개해드릴 케이스는

과거 신경치료를 받았던 치아에서

잇몸에 고름이 주기적으로 생긴 경우입니다.

통증은 심하지 않았지만, 잇몸 색이 변하고

고름이 올라왔다가 사라지기를 반복했습니다.

오랜 기간 방치하면서 뼈가 많이 녹아 있었고,

반대편 치아도 비슷한 문제로 발치한 상태였습니다.

 

근본적인 치료, 재신경치료 및 회복 과정

치아를 살리기 위해

선택한 방법은 재신경치료였습니다.

미세현미경을 이용해 이전 신경치료에선

닿지 않았던 뿌리 끝까지 깨끗하게 소독하고,

내부를 철저히 청소한 뒤 밀폐했습니다.

치료 후에는 항생제도 쓰지 않았고,

고름을 억지로 짜낸 적도 없었습니다.

그저 내부 감염을 확실하게 제거하고

몸이 스스로 치유할 시간을 주었습니다.

불과 2~3주 만에 잇몸 여드름은 사라졌고,

몇 달 뒤에는 뼈가 다시 차오르면서

치아를 정상적으로 사용할 수 있었습니다.

발치 직전까지 갔던 치아는

재신경치료 후 지르코니아 보철로 완성되어

현재까지도 잘 사용되고 있습니다.

 

Q. 재신경치료는 성공률이 낮다던데요?

 

 

 

잇몸염증과 고름 치료의 핵심

 

통증이 없어도 염증은 계속 진행됩니다.

뼈가 녹고 치아가 흔들리기 시작하면

되돌리기 어렵습니다.

따라서 잇몸에 반복되는 고름으로 고민이시라면

1. 잇몸 염증 증상이 있다면 미루지 마세요.

2. 현미경 재신경치료가 가능한 치과를 찾아보세요.

3. 단순 항생제 처방보다는 근본 원인 진단을 요청하세요.

결국 원인을 정확히 진단하고,

원인을 제거하는 근본 치료만이

증상을 해소하고 치아를 지킬 수 있습니다.

소중한 자연치아, 포기하지 마시고

근본적인 해결책을 찾아보세요.

오늘 포스팅 마무리하겠습니다.

감사합니다.

 

 


더 자세한 내용은

치과일타 Dr.꼬집 유튜브 채널에서

확인하실 수 있습니다.

↓ 치과일타 Dr.꼬집 채널 바로가기↓

이미지를 누르면 영상으로 연결됩니다.

 


 

※ 본 게시물은 「의료법」 제56조 및 시행령 제23조에 따라 진료 유도가 아닌 일반 건강 정보 제공을 목적으로 합니다.

※ 개인별 증상과 상태에 따라 치료법과 결과가 다를 수 있으니, 정확한 진단은 반드시 의료진의 직접 진료를 통해 받으시기 바랍니다.

※ 본 콘텐츠는 사전심의를 받지 않은 게시물이며, 의료광고가 아님을 알려드립니다.

 

 

 

 

 

안녕하세요,

소중한 치아를 지키는

연세마이덴치과 닥터꼬집 입니다!

 

오늘은 수술 없이

위턱을 넓히고 교정을 진행한

성인 주걱턱 3급 부정교합

치료 사례를 소개하려고 합니다.

 

20대 교정 진단, 삐뚤빼뚤한 앞니

이번 케이스는 20대 중반으로,

앞니가 돌아가 있고 아래 앞니가 안쪽으로

많이 쓰러져 있었습니다.

진단해 보니

단순히 치아 배열의 문제가 아닌

위턱이 전체적으로 좁고

치아들이 안쪽으로 쏠려 있었으며,

특히 두 번째 앞니는 크기가 작은

왜소치 형태를 띠고 있었습니다.

사랑니는 매복되어 있었고

발치가 필요한 상태였지만

전반적인 치근 상태는 양호했습니다.

 

3급 부정교합 진단

방사선 사진을 분석해 보니

위턱보다 아래턱이 발달한 3급 부정교합,

흔히 '주걱턱'이라고 하는 상태였습니다.

아래 앞니의 각도가

정상치보다 훨씬 작은 68.7도로

안쪽으로 쓰러져 있었습니다.

정면 방사선에서는

위턱과 아래턱의 폭 차이가 정상보다 훨씬 커서

위턱이 약 10mm 이상 좁은 상태가 확인됐습니다.

얼굴 사진에서도 치아가 안쪽으로 쓰러지면서

흔히 '입동굴'이라 불리는 공간이 넓어 보였고,

옆모습에서도 아래턱이 많이 발달해

전체적인 조화가 깨져 있었습니다.

 

 

MARPE 장치의 필요성

이번 케이스에 필요한 핵심 치료는

위턱의 폭을 넓히는 것이었습니다.

어린 시기라면 간단한 장치로도 가능하지만

성인이 되면 뼈가 단단해져서

단순 RPE로는 효과가 부족합니다.

그래서 미니스크류를 이용해

뼈에 직접 고정해 악궁을 확장시키는

MARPE 장치를 선택했습니다.

입천장에 네 개의 스크류를 심고

장치를 결합해 하루에 한 번씩 돌려

조금씩 넓히는 방식으로 치료를 시작했습니다.

성인의 경우

확장이 성공한다고 장담할 수 없지만

이번 케이스는 위턱이 너무 좁아

시도가 꼭 필요했습니다.

 

MARPE 확장 과정

처음 4주 동안은 변화가 크지 않았지만

6주 차에 들어서면서 앞니 사이가 벌어지며

봉합이 열리는 모습이 확인됐습니다.

이는 위턱 뼈가 실제로 벌어졌다는 증거로,

장치를 최소 3개월간 유지하면서

새 뼈가 차오르도록 시간을 주었습니다.

이 기간 동안 아래 치열부터 교정을 시작했고

어금니를 뒤로 이동시켜 공간을 확보한 뒤

안쪽으로 쓰러져 있던 앞니들을 세워 나갔습니다.

왜소치였던 윗앞니 두 개는

추후 보철 치료로 정상 크기를 회복하기로

계획을 세워 약간의 공간을 남겨두었습니다.

치료가 진행되면서

악궁은 V자 모양에서 U자 모양으로 확장되었고

송곳니와 어금니가 세워지면서

전체 배열이 안정되었습니다.

입동굴도 지나치게 넓었던 상태에서

적절한 폭으로 줄어들어

미소가 훨씬 자연스러워졌습니다.

깊게 물려 있던 앞니 교합도 점차 개선되면서

치아가 정상 각도에 가깝게 회복되었습니다.

 

최종 치료 결과

최종적으로 위아래 치아는 가지런하게 배열되었고

왜소치 부위도 라미네이트 보철

심미성과 기능이 보완되었습니다.

옆모습에서는 턱끝이 덜 돌출돼

개선된 인상을 주었습니다.

교정으로 교합과 악궁을 변화시키면서

턱 위치가 약간 아래로 회전

이런 효과가 나타난 것입니다.

치료 기간은 약 2년이 소요되었고,

파노라마 방사선에서도 치근 흡수나 잇몸 손상 없이

안정적으로 마무리되었습니다.

이번 케이스는 치료가 끝난 후에도

정기적으로 검진을 받으며

안정적인 결과를 유지하고 있습니다.

 

교정 치료 시기의 중요성

 

조기 치료

간단한 장치로 효과적인 결과

늦은 치료

복잡하고 불편한 장치 필요, 치료 기간도 길어짐

위에서 소개한 MARPE 케이스도

비교적 늦은 나이에 시작했으나

다행히 좋은 결과를 얻었습니다.

하지만 더 일찍 시작했다면

더 빠르고 덜 힘든 치료가 가능했을 것입니다.

교정 상담, 언제 받아야 할까?​

 

초등학교 1~3학년 시기

첫 교정 상담을 받아보시는 것을 권합니다.

구체적인 시기

✅ 맨 끝 유치 뒤로 첫 번째 큰 어금니(6세 구치)가 나올 때

✅ 앞니 2~4개가 유치에서 영구치로 교체될 때

상담의 목적

꼭 그 시기에 바로 치료를 시작하지 않더라도,

다음과 같은 내용을 파악할 수 있습니다.

✅ 교정 치료가 필요한 상황인지 진단

✅ 현재 상태와 예상되는 문제점 파악

✅ 적절한 치료 시작 시기 계획

✅ 치료 방법과 예상 기간 안내

 

마무리

이번 환자는 성인임에도 불구하고

MARPE 확장에 성공해 위턱을 넓히고

치아 배열과 얼굴 조화를 동시에 개선할 수 있었습니다.

하지만 같은 상황이라도 더 어린 시기에 시작했다면

치료가 훨씬 수월했을 것이라는 점도 덧붙이고 싶습니다.

위턱이 좁고 아래턱이 발달한 3급 부정교합이라면

MARPE 방법을 통해 수술 없이도

충분히 교정 효과를 얻을 수 있으며,

조기에 상담을 통해

적절한 시기를 놓치지 않는 것이 중요합니다.

 


오늘은 주걱턱, 3급 부정교합

비발치 악궁확장 교정치료에 대해 살펴봤습니다.

더 궁금한 점이 있으시거나

자세한 상담이 필요하시다면

언제든지 서울 종로 교정과교정과 전문의

연세마이덴치과로 연락주세요!

앞으로 더 유익한 포스팅으로 돌아오겠습니다~



더 자세한 내용은

치과일타 Dr.꼬집 유튜브 채널에서

확인하실 수 있습니다.

↓ 치과일타 Dr.꼬집 채널 바로가기↓

이미지를 누르면 영상으로 연결됩니다.

※ 본 게시물은 「의료법」 제56조 및 시행령 제23조에 따라 진료 유도가 아닌 일반 건강 정보 제공을 목적으로 합니다.

※ 개인별 증상과 상태에 따라 치료법과 결과가 다를 수 있으니, 정확한 진단은 반드시 의료진의 직접 진료를 통해 받으시기 바랍니다.

※ 본 콘텐츠는 사전심의를 받지 않은 게시물이며, 의료광고가 아님을 알려드립니다.

 

 

 
 

안녕하세요. 치과일타 닥터꼬집 입니다.

"임플란트 브랜드가 중요한가요?"

"임플란트 가격 차이는 이유가 뭔가요?"

임플란트 상담을 하다 보면

비슷한 고민을 하시는 것을 자주 봅니다.

인터넷에는 정보가 넘쳐납니다.

하지만 정작 '내게 맞는 선택은 무엇인가'에 대한

명확한 답을 찾기는 어려운 것이 현실입니다.

오늘은 실제 임상 경험을 바탕으로 한

임플란트 선택 시 꼭 알아야 할 핵심

알려드리겠습니다.

 

임플란트 브랜드, 정말 중요한가요?

 

'임플란트 선택 시 국산 브랜드가 좋은지,

외산 브랜드가 좋은지' 고민이 많으실 텐데요.

임플란트 역사 초기에는 외산이 앞서 있었지만

지금은 국내 브랜드들도 세계적으로 인정받고 있습니다.

결론적으로 말씀드리면 브랜드 자체보다

'내 상태에 맞게 어떤 설계를 하느냐'가 더 중요합니다.

*좋은 임플란트 브랜드란?*

● 오랜 기간 충분히 검증된 시스템 사용
● 환자의 뼈 상태와 교합(물림)에 맞게 적용
● 장기간 부품 공급과 A/S가 가능한 것

이 세 가지 조건이 충족되는 것을 말합니다.

성공적인 임플란트의 3가지 조건

1. 안전성

예전에는 엑스레이 한 장만 보고

임플란트를 심었지만,

요즘에는 CT 촬영이 필수입니다.

턱뼈 속 신경이나 상악동을 피하기 위해서는

3차원 영상으로 뼈의 두께와 밀도,

해부학적으로 위험한 구조물들을

모두 확인해야하기 때문입니다.

CT 없이 진행하는 임플란트는

신경 손상과 염증 발생의 위험이 높아집니다.

2. 정확성

임플란트는 단순히 '심는 것'이 아니라,

치아의 위치와 기능을 고려한

정밀한 설계가 필요합니다.

이러한 이유로 요즘엔

'3D 내비게이션 임플란트'

필수가 되었는데요.

3D 내비게이션 임플란트는

최종 보철물을 먼저 설계하고

그에 맞춰 임플란트 위치를 정하는

'톱다운Top-down 방식'을 사용합니다.

이렇게 정확한 위치에 식립해야

음식물이 끼지 않고

자연스러운 임플란트를 만들 수 있습니다.

3. 지속성

임플란트는 시술로 끝나는 치료가 아닙니다.

정기검진, 임플란트 전용 스케일링,

교합 점검, 보철물 나사 확인 등이

평생 관리의 일부입니다.

따라서 꾸준히 임플란트를 관리해줄 수 있는

평생 주치의를 찾는 것이 중요합니다.

'심는 순간이 시작'이라는 것을

꼭 기억해 주셔야 합니다.

 

'3D 내비게이션 임플란트' 란?

3D 네비게이션 임플란트

CT로 뼈와 신경을 3차원 분석해

미리 위치를 설계하고

가이드를 따라 식립하는 방식으로,

더 정확하고 안전한 임플란트입니다.

임플란트 실패 원인 및 증상

 

임플란트 치료 후 불편함을 겪고

재수술이 필요해지는 경우가 있습니다.

*임플란트 재수술이 필요한 경우*

- 보철물이 자주 빠지거나
- 음식물이 심하게 끼거나
- 잇몸이 자주 붓고 피가 나는 경우

 

*임플란트 실패의 대부분의 원인*

식립 위치 오차
CT 없는 불충분한 진단
깨끗이 청소하기 어려운 보철 구조
개인 위생 관리 부족 에서 비롯됩니다.

임플란트는 재수술이 가능합니다.

다만 첫치료부터 정확한 계획, 술식으로 진행하는 것이

환자 본인에게는 훨씬 유리합니다.

임플란트 치료 후 필수 관리 방법

 

임플란트는 자연치아와 달리 신경이 없기 때문에

문제가 생겨도 통증이 없는 경우가 많습니다.

그래서 더 꼼꼼한 관리가 필요합니다.

아래의 기본적인 관리 방법만 지키셔도

임플란트를 더 오래 건강하게

사용하실 수 있습니다.

*임플란트 후 관리, 이렇게 하세요*

● 전용 칫솔, 치간칫솔, 워터픽 등 활용
● 3~6개월 주기의 정기검진
● 잇몸 붓기, 보철 흔들림, 출혈 있을 시 내원


체크리스트: 임플란트 전 확인사항

1. 임플란트 치과 선택 시

□ CT 촬영 여부와 결과 설명
□ 어떤 임플란트 시스템을 사용하는지
□ 수술 계획과 예상 치료 기간
□ 자세한 비용과 추가 비용 발생 가능성
□ 사후관리 방법과 보증 여부

2. 임플란트 견적 비교 시

임플란트 비용이 너무 저렴한 곳은
필수 과정을 생략할 가능성이 있고,

반대로 비용이 너무 비싼 곳은
과잉 진료나 마케팅 비용이
반영되었을 가능성이 있습니다.

따라서 필요한 치료 과정을 충실히 하면서도

합리적인 가격대의 치과를 선택하시기 바랍니다.

 

마무리: 현명한 임플란트 선택을 위해

 

임플란트는 단순한 치료가 아닙니다.

앞으로 20-30년을 함께할

'제2의 내 치아'를 만드는 일입니다.

가격만 보지 마시고,

평생 함께할 믿을 수 있는 주치의를 찾아보세요.

임플란트 치료를 앞두고,

브랜드와 병원 선택에 고민 중이신 분들은

이번 포스팅을 참고하시길 바라겠습니다.

감사합니다.

 
 
 
 


더 자세한 내용은

치과일타 Dr.꼬집 유튜브 채널에서

확인하실 수 있습니다.

↓ 치과일타 Dr.꼬집 채널 바로가기↓

이미지를 누르면 영상으로 연결됩니다.

 


 

※ 본 게시물은 「의료법」 제56조 및 시행령 제23조에 따라 진료 유도가 아닌 일반 건강 정보 제공을 목적으로 합니다.

※ 개인별 증상과 상태에 따라 치료법과 결과가 다를 수 있으니, 정확한 진단은 반드시 의료진의 직접 진료를 통해 받으시기 바랍니다.

※ 본 콘텐츠는 사전심의를 받지 않은 게시물이며, 의료광고가 아님을 알려드립니다.

 

 

 

 

안녕하세요. 치과일타 닥터꼬집 입니다.

"해외에 살고 있는데

한국에서 치과치료가 가능할까요?"

"출국까지 2주밖에 안남았는데

임플란트 할 수 있나요?"

선진국은 비용과 의사소통 문제로,

개발도상국은 의료진에 대한 신뢰 부족으로

점점 해외에서 한국 치과를

찾으시는 분들이 늘고 있어요.

하지만 가장 큰 걱정은 짧은 체류기간이죠.

길어봐야 2주에서 한 달, 과연 이 시간에

제대로 된 치과 치료가 가능할까요?

결론부터 말씀드리면

케이스에 따라 충분히 가능합니다.

오늘은 실제 해외거주자 케이스를 통해

어떻게 효과적으로 치료받을 수 있는지

알려드리겠습니다.

 

해외 거주자 치료 사례 : 포스트 금속 기둥 제거

이번 케이스는 잇몸에

여드름처럼 고름주머니가 생겼고

치아 내부에는 캐스트 포스트(금속 기둥)가

들어가 있던 상황이었습니다.

또한 두 달 뒤 출국으로

시간이 많이 남지 않은 상황이었습니다.

저는 기둥 제거를 시도해보고 가능하다면

재신경치료를 진행해 보는 계획을 세웠습니다.

보통 한 달 이내라면 신경치료 후

크라운까지도 마무리할 수 있기 때문이죠.

실제로 기둥 제거는

난이도가 매우 높은 술식이지만,

그간 쌓아온 경험으로 무사히 제거할 수 있었고

내부를 정리한 후 재치료를 준비했습니다.

하지만 내부를 정리하는 과정에서

치아 뿌리 쪽 크랙(금)이 발견됐습니다.

뿌리 쪽 크랙은 재치료를 하더라도

예후가 좋지 않기 때문에

결국 발치가 불가피했습니다.

치료 기간 단축을 위한 '발치 즉시 임플란트'

문제는 시간이었습니다.

두 달 이내에 임플란트 식립 후

보철까지 완성하기는 현실적으로 어려웠습니다.

그래서 이번 귀국 기간엔

발치 후 즉시 임플란트 픽스쳐까지

심는 과정만 진행했고,

2차 및 최종 보철은

다음 귀국 때 연결하기로 했습니다.

이번 케이스는 뼈 상태가 비교적 양호했고,

발치 중에 셉탈본(치아 뿌리 사이의 뼈)가

최소한으로 손상되었습니다.

따라서 고정력 30n을 확보할 수 있었고,

발치 후 즉시 픽스쳐 식립이 가능했습니다.

임플란트 픽스쳐를 정확한 위치에 심고,

뼈 이식과 멤브레인으로 봉합까지 마무리했습니다.

이후 실밥 제거 후 출국하셨고,

보철은 다음 귀국인 6개월 뒤에 진행되었습니다.

 

해외거주자, 국내 치과 치료 전략

 

1. 치아교정 치료

해외 거주 중에도

투명 교정 장치인 인비절라인을 활용하면

치료를 지속할 수 있습니다.

과거에는 해외 생활과 교정 치료를

병행하기 어려웠으나,

디지털 방식의 교정 장치가 보급되면서

국내에서 시작한 치료를

해외에서도 이어갈 수 있게 되었습니다.

2. 임플란트 치료

임플란트는 식립 후

뼈와 결합하는 과정이 필요하여

일반적으로 여러 차례 내원해야 합니다.

하지만 발치 즉시 임플란트가 가능하다면,

첫 방문 시 발치와 임플란트 식립을 진행하고,

이후 한 번 더 내원하여 최종 보철물을 완성하는

방식으로 치료 기간을 대폭 단축할 수 있습니다.

이러한 접근법은 해외 거주자들에게 특히 유리합니다.

3. 신경치료

신경치료는

치료 후 경과 관찰이 필요하지만,

그 과정이 길게 이어지더라도

해외에서 생활하다가 귀국 시

정기적으로 확인받으면

충분히 관리가 가능합니다.

치료가 끝난 뒤에는 정기적으로 상태를 체크하고

필요할 경우 추가적인 보존 치료를 진행하면 됩니다.

 

마무리

 

해외에서 장기간 생활하다 보면

치과치료를 미루게 됩니다.

또한 한국에서 치료를 받고 싶어

일부러 미루시는 경우도 많습니다.

하지만 치과치료는 시간이 지날수록 악화되어

더 복잡하고 비용이 많이 들 수 있습니다.

따라서 시기를 놓치지 않는 것이 중요합니다.

이런 경우에 중요한 건 짧은 체류 기간에

어떤 치료를 먼저 진행할 수 있을지

구체적으로 전략적으로 계획하는 것입니다.

해외에 거주하지만 국내 치과치료를

고민 중이신 분들께서는

이번 치료 케이스를 참고하시길 바라겠습니다.

감사합니다.


더 자세한 내용은

치과일타 Dr.꼬집 유튜브 채널에서

확인하실 수 있습니다.

↓ 치과일타 Dr.꼬집 채널 바로가기↓

이미지를 누르면 영상으로 연결됩니다.

 


 

※ 본 게시물은 「의료법」 제56조 및 시행령 제23조에 따라 진료 유도가 아닌 일반 건강 정보 제공을 목적으로 합니다.

※ 개인별 증상과 상태에 따라 치료법과 결과가 다를 수 있으니, 정확한 진단은 반드시 의료진의 직접 진료를 통해 받으시기 바랍니다.

※ 본 콘텐츠는 사전심의를 받지 않은 게시물이며, 의료광고가 아님을 알려드립니다.

 

 

+ Recent posts