
잇몸 고름, 방치하면 안 되는 이유
안녕하세요. 치과일타 닥터꼬집 입니다.
많은 분들이 잇몸 염증 고름이 생겨도
많이 아프지 않다는 이유로 방치하곤 합니다.
하지만 증상이 가벼워 보여도 염증은 계속 진행되고,
시간이 지나면 치아를 잃을 수도 있습니다.
* 자가진단 체크 리스트 *
: 다음 항목 중 해당되는 것이 있다면 전문의 상담을 받아보세요.
□ 잇몸에 여드름 같은 것이 반복적으로 생긴다
□ 과거에 신경치료를 받은 치아가 있다
□ 잇몸 색이 변한 부분이 있다
□ 가끔 피가 나거나 고름이 나온다
□ 컨디션에 따라 증상이 있었다 없었다 한다
잇몸 염증, 항생제 효과 있을까?
잇몸 고름으로 항생제를 처방받는 경우가 많습니다.
항생제를 먹으면 며칠 동안은 증상이 줄어들고,
잇몸 여드름도 사라진 것처럼 보입니다.
하지만 시간이 지나면 다시 고름이 올라옵니다.
또 항생제를 먹고, 증상이 줄었다
재발하는 악순환이 생깁니다.

*잇몸 염증, 4가지 주요 원인*
1. 과거 신경치료가 제대로 되지 않아, 뿌리 끝에 염증이 생기는 경우
2. 잇몸병, 치주질환이 원인이 되는 경우
3. 깊은 충치로 세균이 침투해 생기는 경우
4. 치아 크랙으로 뿌리 쪽에 염증이 생긴 경우
잇몸에 염증이 생기거나
고름이 잡히는 경우는 생각보다 흔하지만
원인은 단순하지 않습니다.
이처럼 원인이 다양하기 때문에
겉으로 보이는 현상만 가지고는
원인을 특정하기 어렵습니다.
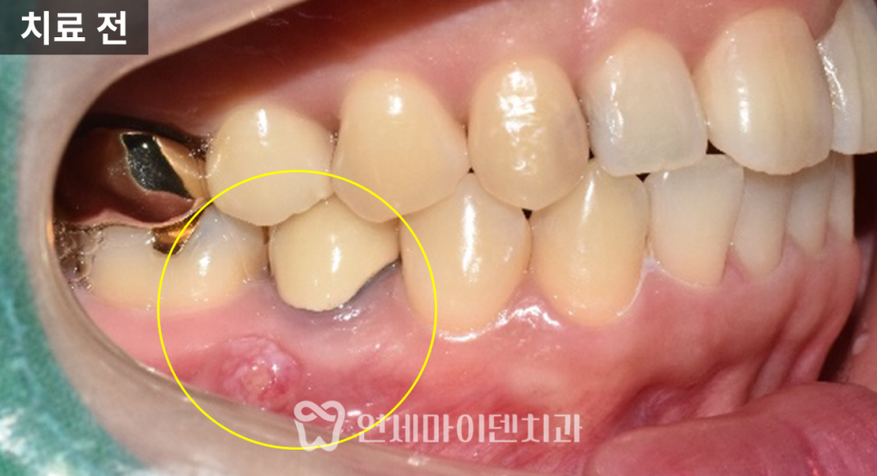
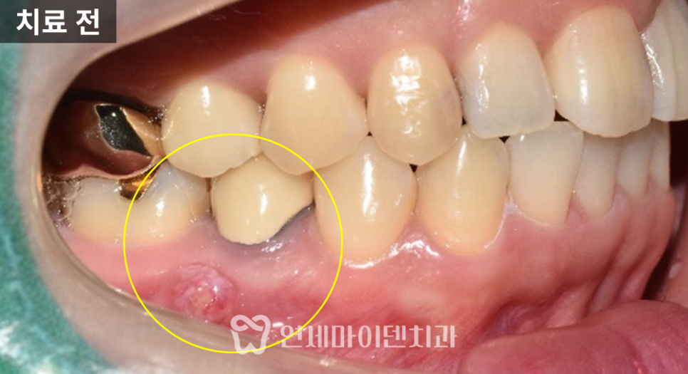
염증 치아 보존, 실제 케이스 소개

오늘 소개해드릴 케이스는
과거 신경치료를 받았던 치아에서
잇몸에 고름이 주기적으로 생긴 경우입니다.
통증은 심하지 않았지만, 잇몸 색이 변하고
고름이 올라왔다가 사라지기를 반복했습니다.
오랜 기간 방치하면서 뼈가 많이 녹아 있었고,
반대편 치아도 비슷한 문제로 발치한 상태였습니다.

근본적인 치료, 재신경치료 및 회복 과정

치아를 살리기 위해
선택한 방법은 재신경치료였습니다.
미세현미경을 이용해 이전 신경치료에선
닿지 않았던 뿌리 끝까지 깨끗하게 소독하고,
내부를 철저히 청소한 뒤 밀폐했습니다.

치료 후에는 항생제도 쓰지 않았고,
고름을 억지로 짜낸 적도 없었습니다.
그저 내부 감염을 확실하게 제거하고
몸이 스스로 치유할 시간을 주었습니다.

불과 2~3주 만에 잇몸 여드름은 사라졌고,
몇 달 뒤에는 뼈가 다시 차오르면서
치아를 정상적으로 사용할 수 있었습니다.
발치 직전까지 갔던 치아는
재신경치료 후 지르코니아 보철로 완성되어
현재까지도 잘 사용되고 있습니다.

Q. 재신경치료는 성공률이 낮다던데요?

잇몸염증과 고름 치료의 핵심
통증이 없어도 염증은 계속 진행됩니다.
뼈가 녹고 치아가 흔들리기 시작하면
되돌리기 어렵습니다.
따라서 잇몸에 반복되는 고름으로 고민이시라면
1. 잇몸 염증 증상이 있다면 미루지 마세요.
2. 현미경 재신경치료가 가능한 치과를 찾아보세요.
3. 단순 항생제 처방보다는 근본 원인 진단을 요청하세요.
결국 원인을 정확히 진단하고,
원인을 제거하는 근본 치료만이
증상을 해소하고 치아를 지킬 수 있습니다.
소중한 자연치아, 포기하지 마시고
근본적인 해결책을 찾아보세요.
오늘 포스팅 마무리하겠습니다.
감사합니다.
더 자세한 내용은
치과일타 Dr.꼬집 유튜브 채널에서
확인하실 수 있습니다.
↓ 치과일타 Dr.꼬집 채널 바로가기↓
※ 본 게시물은 「의료법」 제56조 및 시행령 제23조에 따라 진료 유도가 아닌 일반 건강 정보 제공을 목적으로 합니다.
※ 개인별 증상과 상태에 따라 치료법과 결과가 다를 수 있으니, 정확한 진단은 반드시 의료진의 직접 진료를 통해 받으시기 바랍니다.
※ 본 콘텐츠는 사전심의를 받지 않은 게시물이며, 의료광고가 아님을 알려드립니다.


'Info > 내 치아 지키기' 카테고리의 다른 글
| 치아에 금이 갔을 때 무조건 발치해야 할까? | 종로 치과 (0) | 2025.10.28 |
|---|---|
| 종로 치과 | 크라운 치료 후 통증 원인, VPT 치아 보존 치료 방법 (0) | 2025.09.29 |
| 어금니 금갔을 때, 치료 방법과 살릴 수 있는 기준|광화문 치과 (0) | 2025.09.25 |
| 씹을 때 통증 원인, 금간 치아 어떻게 확인할까?|광화문 미세현미경 치과 (0) | 2025.09.18 |
| 재신경치료 후 실패, 발치 없이 자연 치아 보존 방법 광화문치과 (0) | 2025.09.16 |
